Yolksac trong siêu âm thai là một dấu hiệu quan trọng, xuất hiện sớm trong thai kỳ và giúp bác sĩ đánh giá sự phát triển bình thường của thai nhi. Đây là cấu trúc đầu tiên nuôi dưỡng phôi thai trước khi nhau thai hoàn thiện chức năng. Hãy theo dõi bài viết của Mẹ Bầu Xứ Nghệ để hiểu rõ hơn về ý nghĩa của yolksac và những điều mẹ bầu cần lưu ý.
Yolksac là gì?
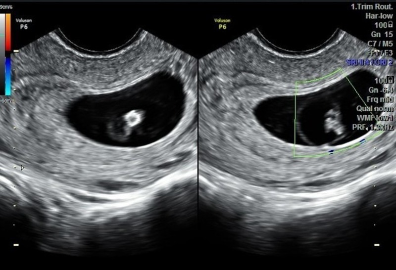
Yolksac (túi noãn hoàng) là một cấu trúc quan trọng xuất hiện rất sớm trong thai kỳ, thường được nhìn thấy qua siêu âm từ tuần thứ 5 trở đi. Đây là bộ phận cung cấp dinh dưỡng, hỗ trợ trao đổi chất và hình thành mạch máu cho phôi thai trong những tuần đầu khi nhau thai chưa phát triển hoàn thiện. Yolksac còn tham gia vào quá trình tạo máu và sản xuất tế bào mầm sinh dục ban đầu. Sự hiện diện và hình dạng của yolksac giúp bác sĩ đánh giá tình trạng phát triển bình thường của thai. Nếu yolksac có kích thước hoặc hình dạng bất thường, có thể cảnh báo nguy cơ thai lưu hoặc bất thường thai kỳ.

Hiện tương xuất hiện yolksac trong siêu âm thai là gì?
Hiện tượng xuất hiện yolksac trong siêu âm thai là dấu hiệu sớm cho thấy phôi thai đang phát triển bình thường trong tử cung. Yolksac thường được nhìn thấy ở tuần thai thứ 5 – 6 thông qua siêu âm đầu dò, xuất hiện dưới dạng một vòng tròn nhỏ, sáng bên trong túi thai. Sự có mặt của yolksac chứng tỏ quá trình thụ tinh và làm tổ đã thành công, là bước quan trọng trước khi quan sát thấy tim thai. Nếu sau tuần thứ 6 túi thai không xuất hiện yolksac, bác sĩ có thể nghi ngờ thai ngoài tử cung hoặc thai lưu.

Yolksac trong siêu âm thai có nguy hiểm không?
Yolksac trong siêu âm thai hoàn toàn không nguy hiểm mà ngược lại còn là dấu hiệu tích cực cho thấy thai đang phát triển bình thường. Đây là cấu trúc tự nhiên và cần thiết trong giai đoạn đầu của thai kỳ, giúp nuôi dưỡng phôi khi nhau thai chưa hoàn thiện. Tuy nhiên, nếu yolksac có hình dạng méo mó, quá to hoặc quá nhỏ (thường >6 mm hoặc <2 mm) có thể là dấu hiệu cảnh báo bất thường trong quá trình phát triển của thai nhi. Khi bác sĩ phát hiện yolksac bất thường, thường sẽ chỉ định theo dõi sát và kiểm tra lại bằng siêu âm ở các tuần tiếp theo.
Trường hợp nguy hiểm khi xuất hiện yolksac trong siêu âm thai
Các mẹ bầu cũng nên chú ý đến hiện tượng siêu âm có yolksac vì không phải trường hợp nào cũng thể hiện thai kỳ bình thường. Khi phát hiện yolksac, bác sĩ thường kiểm tra kỹ kích thước và hình dạng của túi noãn hoàng để đánh giá sức khỏe của thai. Đây là yếu tố quan trọng giúp bác sĩ chẩn đoán xem thai kỳ có đang ở trạng thái an toàn hay không.

Thông thường, túi noãn hoàng có độ dày dưới 5 mm. Nếu yolksac dày hơn 5 mm hoặc có hình dạng bất thường, nguy cơ hình thành phôi thai không bình thường sẽ tăng cao. Điều này đồng nghĩa với việc tỷ lệ sảy thai trong tam cá nguyệt đầu tiên cũng cao hơn so với bình thường. Trong trường hợp yolksac quá dày hoặc bất thường, bác sĩ chuyên khoa sẽ theo dõi sát sao tình trạng sức khỏe của mẹ và thai nhi. Mẹ bầu có thể được chỉ định thực hiện thêm các biện pháp hỗ trợ y tế nhằm giảm nguy cơ sảy thai và duy trì thai kỳ ổn định.
Nên làm gì khi phát hiện yolksac trong siêu âm thai?
Các mẹ bầu cũng nên chú ý đến hiện tượng siêu âm có yolksac vì không phải trường hợp nào cũng thể hiện thai kỳ bình thường. Khi phát hiện yolksac, bác sĩ thường kiểm tra kỹ kích thước và hình dạng của túi noãn hoàng để đánh giá sức khỏe của thai. Đây là yếu tố quan trọng giúp bác sĩ chẩn đoán xem thai kỳ có đang ở trạng thái an toàn hay không.

Thông thường, túi noãn hoàng có độ dày dưới 5 mm. Nếu yolksac dày hơn 5 mm hoặc có hình dạng bất thường, nguy cơ hình thành phôi thai không bình thường sẽ tăng cao. Điều này đồng nghĩa với việc tỷ lệ sảy thai trong tam cá nguyệt đầu tiên cũng cao hơn so với bình thường. Trong trường hợp yolksac quá dày hoặc bất thường, bác sĩ chuyên khoa sẽ theo dõi sát sao tình trạng sức khỏe của mẹ và thai nhi. Mẹ bầu có thể được chỉ định thực hiện thêm các biện pháp hỗ trợ y tế nhằm giảm nguy cơ sảy thai và duy trì thai kỳ ổn định.
Yolksac trong siêu âm thai đóng vai trò quan trọng trong việc đánh giá sự phát triển ban đầu của thai nhi và tình trạng sức khỏe của mẹ bầu. Việc theo dõi kích thước và hình dạng yolksac giúp phát hiện sớm những bất thường, từ đó có hướng xử lý kịp thời. Đừng quên cập nhật thêm nhiều kiến thức hữu ích từ Mẹ Bầu Xứ Nghệ để chăm sóc thai kỳ khỏe mạnh và an toàn.
Thông tin liên hệ:
- Địa chỉ: 7 Phùng chí Kiên, P. Hà Huy Tập Tp Vinh, Nghệ An
- Website: https://mebauxunghe.com/
- Hotline: 0899959997
- Cố vấn chuyên môn: Ths. Bs CK1 - Nguyễn Thị Phương Lâm - Trưởng khoa - Bệnh Viện sản nhi Nghệ An
- Email: mebauxunghe@gmail.com